材料与方法
实验分组:
将95只小鼠随机分成四组,阴性对照组(简称NS组)10只,每周一次皮下注射生理盐水;阳性对照组(DMH组)40只,按20mg/kg剂量每周皮下注射DMH溶液,连续20周;实验组(CHL组)45只,平均分为三组,参照类似文献的剂量,Rg3给药浓度分为低、中和高剂量,分别为0.05、0.1和0.3mg/g,DMH每周1次诱癌,Rg3隔天1次灌胃,从第8周起直到20周。
考察指标:
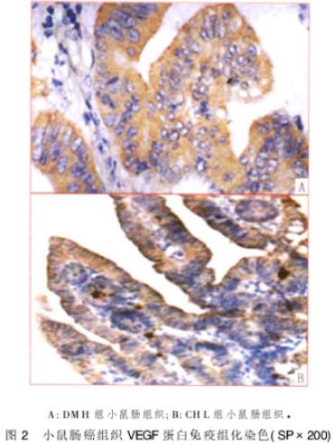
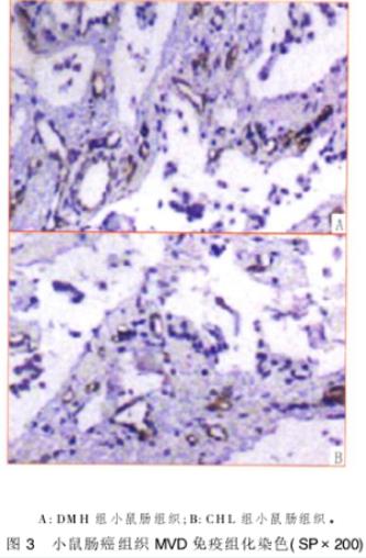
于实验第20周末处死小鼠,解剖小鼠大肠,观察肠壁肿瘤发生数及大小,同时注意观察其他脏器有无转移灶。将大肠纵行剖开,4%中性甲醛溶液固定,席卷法收集全大肠组织,石蜡包埋切片,HE染色,肉眼及镜检计算各组肿瘤发生率。免疫组化方法检测Rg3对小鼠肠肿瘤MVD的影响以及Rg3对VEGF蛋白的表达影响。
统计学分析:
小鼠大肠癌发生率和肠癌百分率用X2检验,小鼠平均荷瘤数采用方差分析及多重比较、MVD用t检验分析,VEGF蛋白表达用秩和检验。
结 果
Rg3对小鼠肠癌发生率的影响
DMH组40只小鼠镜下均发现癌灶,肠癌发生率为100%,明显高于其余各组,P值均<0.05;不同浓度Rg3能够减少小鼠大肠癌发生率约40%~50%,但不同剂量组之间肠癌发生率差异无统计学意义,P>0.05(表1)。

Rg3对VEGF蛋白表达的影响
VEGF阳性染色位于胞质和胞膜,在40只DMH组小鼠大肠组织中大多呈中性强性以上表达,经统计学分析,明显高于Rg3中剂量组,P<0.05(图2)。

Rg3对小鼠肠肿瘤中MVD的影响
Rg3组微血管密度(9.74±4.22)明显低于NS组(17.71±6.08),P<0.05。对照组微血管大量增生,肿瘤组织内微血管分布不均匀,形态不规则(图3)。

结 论
我们的实验表明,不同浓度的Rg3都能预防DMH诱导的小鼠肠肿瘤的发生,能够明显抑制肿瘤组织中的MVD和VEGF蛋白表达水平,提示人参皂苷Rg3发挥化学预防作用的主要机制也离不开其对肿瘤新生血管形成的抑制作用,但Rg3抑制MVD和VEGF的具体机制尚有待进一步研究。
文献来源:中华肿瘤防治杂志2006年1月第13卷第1期。